解决疑问 咨询优惠价格
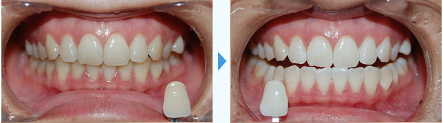
美莱皓齿美白仅仅30分钟即可有效去除黄牙、烟渍牙、黑牙、四环素牙、氟斑牙等各种色素牙困扰。皓齿美白是美国牙齿美白技术,在美国,已有超过一百万人用皓齿美白技术美化牙齿,被称为效果最好的午休美容项目,美白效果直接持久。

美白前 美白中 美白后

皓齿美白
咨询详情
改变·遇见更美的自己
美莱皓齿美白4大优势
低温纳米光

低温纳米光

不损伤牙齿、牙龈

效果持久

效果持久

保持时间长

坚固牙齿

坚固牙齿

牙表面不脱钙

立竿见影

立竿见影

一个午休时间获得健康白

马上点击预约

美莱医师问答
全瓷牙与传统镶牙区别在哪里?
烤瓷牙日后容易松动脱落吗?
烤瓷牙治疗的收费是怎样计算?
烤瓷牙失败后还能修复吗?

直接点击咨询

她们正在线上咨询:

相关阅读
  • 口腔美白
  • 牙齿矫正
  • 牙齿修复
  • 烤瓷牙

重庆美莱在线咨询

整形实力派

4位博士·2位主任医师 长期坐诊

免费回电
我们将立即回电,该通话免费,请放心接听! 免费整形 悄悄提问
5重大礼 美出新高度

新春派福
5重大礼